Découvertes pour la vie

Les visages de la recherche en santé 2026

Titre

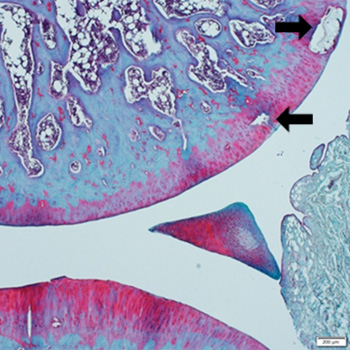
Incidence de la santé intestinale sur la santé articulaire : les fibres et l’activité physique réduisent les symptômes de l’arthrose chez un modèle de rat obèse

Figure : coupe histologique sagittale de l’articulation fémoro-tibiale. Les flèches noires pointent vers des kystes articulaires du fémur chez des animaux suivant un régime alimentaire riche en lipides et glucides.

Dr Walter Herzog, Ph. D.
Professeur et codirecteur du Human Performance Laboratory
Faculté de kinésiologie, Université de Calgary

Les deux principaux objectifs de notre récente étude financée par les IRSC sont les suivants :

  • Comprendre les répercussions de l’obésité sur la santé osseuse, articulaire et musculaire;
  • Améliorer les traitements non chirurgicaux de l’arthrose du genou chez les personnes obèses ou touchées par le syndrome métabolique.

Dans le cadre de nos travaux, nous avons utilisé un modèle de rat dont l’obésité et le syndrome métabolique ont été induits par une alimentation riche en lipides et en glucides. Nous avons constaté que les exercices aérobiques n’entraînent aucune perte de poids notable chez les animaux étudiés, mais qu’ils donnent lieu à une amélioration de leur métabolisme, à une diminution de leurs inflammations et à la réapparition de bactéries intestinales saines, des changements qui ont abouti à une réduction de leurs lésions osseuses, musculaires et articulaires. Nous avons également découvert que l’ajout d’oligofructoses, des suppléments de fibres, à leur alimentation réduit les symptômes de l’arthrose du genou. Sachant que dans une étude connexe, nous avons observé que ce type de fibres soulage les douleurs et réduit la prise de médicaments chez les personnes obèses atteintes d’une arthrose du genou à un stade modéré, cette découverte pourrait se révéler pertinente pour la santé humaine.

Lectures complémentaires (en anglais seulement)

Comment un patient partenaire met un diagnostic erroné au service de meilleurs résultats pour les jeunes atteints d’arthrite

John Bang
Partenaire jeunesse, PAVE

John avait neuf ans lorsque ses douleurs articulaires ont commencé. On lui a d’abord dit que c’était la maladie d’Osgood-Schlatter, un problème temporaire. Toutefois, la douleur persistait. À 14 ans, il a finalement reçu un diagnostic d’arthrite juvénile idiopathique sévère liée à l’enthésite et de maladie inflammatoire de l’intestin. Des années sans traitement de l’inflammation avaient entraîné une atrophie musculaire importante de même qu’une perte de mobilité.

« Pendant longtemps, ma douleur est restée invisible, explique John. Une erreur de diagnostic m’a fait perdre des années qui auraient pu changer mon résultat de santé. »

En plus des limitations physiques, John a connu des difficultés liées à l’absentéisme scolaire, à l’isolement social et à la santé mentale que les interventions cliniques ne prenaient pas en compte.

Aujourd’hui, il apporte cette perspective au projet PAVE (Producing an Arthritis Value Framework with Economic Evidence). À titre de partenaire jeunesse de recherche, John collabore avec des scientifiques pour veiller à ce que la recherche sur l’arthrite tienne compte de l’expérience réelle des jeunes – celle qui comprend les diagnostics tardifs, l’impact émotionnel et les conséquences à long terme de la maladie.

« La recherche doit mesurer ce qui compte réellement pour les jeunes, insiste-t-il. C’est ainsi que l’on évite à d’autres personnes de passer entre les mailles du filet. »

Comprendre toute la réalité : un parent partenaire oriente la recherche pour qu’elle tienne compte des conséquences à long terme de l’arthrite juvénile

Lisa George
Parent partenaire, PAVE

Kylie avait cinq ans lorsqu’une chute mineure a entraîné plusieurs mois d’enflure, de raideurs et de questions demeurant sans réponse. Après six mois de militantisme et de rendez-vous répétés, un test d’IRM a révélé une inflammation importante, qui a abouti à un diagnostic d’arthrite juvénile idiopathique. Peu après, Kylie a développé une uvéite, une inflammation d’une partie de l’œil, qui a exigé l’utilisation fréquente de gouttes oculaires médicamenteuses pendant qu’elle fréquentait la maternelle.

« Le diagnostic, ce n’était que le début, se rappelle Lisa. Cela allait au-delà d’un simple problème lié à une articulation; on parlait maintenant de risques pour la vision, de difficultés relatives au soutien scolaire, du fardeau lié aux traitements et de l’incertitude quant à la transition vers l’âge adulte. »

Grâce au projet PAVE (Producing an Arthritis Value Framework with Economic Evidence), Lisa collabore avec des chercheurs pour s’assurer que les études tiennent compte de la pleine mesure des conséquences de l’arthrite juvénile, dont les complications comme l’uvéite, les effets secondaires des traitements, le stress familial et l’incertitude quant à l’avenir.

« La recherche doit considérer non seulement les symptômes actuels, mais aussi les résultats à long terme qui influent sur le parcours de vie d’un enfant », affirme-t-elle.

Un outil interactif en ligne pour étudier l’ADN et ses liens avec la santé

Dre Sarah Gagliano Taliun
Professeure agrégée
Université de Montréal

Dr Daniel Taliun
Professeur adjoint
Université McGill

Les études d’association pangénomique permettent d’examiner l’ensemble de l’ADN d’une population afin de repérer les variations génétiques associées à une maladie ou à un trait biologique donné, comme les maladies cardiovasculaires ou le taux de cholestérol. La stratification des associations permet quant à elle d’examiner séparément et de manière plus approfondie certaines variables, comme le sexe biologique.

Notre couple compose l’équipe de recherche responsable d’un projet financé par les Instituts de recherche en santé du Canada visant à développer l’outil en ligne PheWeb2, qui permet d’isoler et de comparer différents résultats stratifiés. Notre article publié dans Nature Genetics traite de la façon dont PheWeb2 permet de repérer des effets génétiques qui diffèrent entre les femmes et les hommes en se fondant sur les données de l’Étude longitudinale canadienne sur le vieillissement, qui porte sur une vaste cohorte nationale.

Lecture complémentaire

Quelle est l’incidence de la piètre qualité de l’air attribuable au climat sur la santé?

Krishna Kolen, doctorante
Département de géographie et de planification, et Institut mondial de la sécurité de l’eau, Université de la Saskatchewan

Au Canada, certains phénomènes météorologiques, notamment les feux de forêt et les tempêtes de poussière, nuisent à la qualité de l’air et, de ce fait, font tort à la population. La Première Nation Mistawasis Nêhiyawak, située au centre de la Saskatchewan, subit ces répercussions de plein fouet. C’est donc à la demande de ses membres que nous avons collaboré avec la Première Nation à l’élaboration d’outils, de stratégies et de méthodes de surveillance dans l’optique de mieux comprendre et de réduire les conséquences sur la santé.

Outre notre partenariat avec le ministère de la Santé ainsi que le ministère du Territoire et des Ressources naturelles des Mistawasis, nous ferons équipe avec des Aînés autochtones et des jeunes pour déterminer les personnes touchées ainsi que les approches optimales de sensibilisation à la mauvaise qualité de l’air et aux risques connexes pour la santé.

Parmi les principaux résultats de notre recherche, notons la création concertée de stratégies fondées sur des données qui appartiennent à la communauté et qui contribuent à la souveraineté des données des Autochtones, à l’adaptation climatique et à la résilience. Les résultats du projet pourront être utilisés par les dirigeants des Mistawasis pour élaborer des stratégies d’adaptation et d’atténuation qui conviennent à leur communauté et à leur contexte.

Lectures complémentaires

Un essai clinique sur les anticoagulants pourrait faire évoluer le traitement des caillots sanguins

Dre Lana Castellucci
Chercheuse, Programme des maladies inflammatoires et chroniques, et professeure de médecine
Institut de recherche de l'Hôpital d'Ottawa et Université d'Ottawa

La thromboembolie veineuse (thrombose) est un grave problème de santé caractérisé par l'apparition de caillots sanguins dans les veines des jambes. Touchant environ 50 000 personnes chaque année au Canada, cette maladie peut mener à des complications et notamment à des embolies pulmonaires lorsque les caillots migrent vers les poumons.

Pour dissoudre les caillots, les médecins prescrivent souvent des anticoagulants tels que l'apixaban et le rivaroxaban, qui entraînent toutefois comme effets secondaires des hématomes ou des saignements internes. Dans le cadre d'un essai clinique financé par les IRSC, la Dre Lana Castellucci a comparé le risque hémorragique de ces médicaments, administrés à des patients ayant récemment reçu un diagnostic de thrombose. Selon l'étude COBRA – à laquelle ont pris part 2 760 personnes dans 32 centres au Canada, en Australie et en Irlande – l'apixaban réduit le saignement de plus de 50 % par rapport au rivaroxaban.

Ainsi, les patients vivant avec une thromboembolie veineuse seraient exposés à des risques moindres. Pour l'un des participants à l'essai, « les personnes atteintes d'une thrombose vivent souvent à la fois avec la peur de la récidive et celle de l'hémorragie, c'est donc un réel soulagement de savoir qu'il existe une option thérapeutique plus sûre ».

L'essai clinique de la Dre Castellucci a démarré sous la forme d'une étude pilote financée par CanVECTOR (en anglais seulement), un réseau qui fait progresser la recherche sur la thromboembolie veineuse au Canada depuis dix ans. À la suite du succès de cette étude, un essai clinique international a été réalisé. La Dre Castelluci estime qu'en investissant dans CanVECTOR, les IRSC « ont contribué à créer une communauté de chercheurs et de patients partenaires qui travaillent à rendre les soins plus sûrs et plus efficaces au Canada, mais aussi dans le monde entier ».

Lectures complémentaires

Changer les règles du jeu pour la sécurité des jeunes sportifs au Canada

Dre Carolyn Emery, titulaire d’un doctorat en épidémiologie et physiothérapeute
Professeure, Faculté de kinésiologie, Université de Calgary

Le sport procure d’immenses bienfaits, mais comporte des risques. Chaque année, le tiers des jeunes âgés de 10 à 24 ans au Canada se blessent lors d’une pratique sportive. Les conséquences sont multiples : baisse de l’activité physique, arthrose post-traumatique, problèmes de santé mentale, séquelles d’une commotion cérébrale, etc.

C’est pourquoi, grâce au soutien financier des IRSC, je dirige un programme canadien de recherche communautaire, intitulé SHRED Injuries. L’objectif est d’étudier les facteurs de risque et d’évaluer des stratégies afin de prévenir les blessures sportives ou d’atténuer leurs conséquences chez les jeunes. Voici comment j’ai atteint cet objectif :

  • Les résultats du programme ont guidé l’élaboration de pratiques exemplaires qui préconisent les échauffements fondés sur l’entraînement neuromusculaire. L’adoption de ces pratiques a permis de réduire le taux de blessures de 40 %, dans le meilleur des cas.
  • Mon équipe a contribué à la révision des politiques en place afin d’interdire la mise en échec chez les jeunes de moins de 13 ans ainsi que les adolescents inscrits à une ligue de hockey sur glace amateur. Cette mesure a permis de réduire le taux de blessures de plus de 50 %.
  • Les travaux de mon équipe ont permis de réduire le taux de blessures chez les jeunes sportifs en Alberta de 30 % sur 15 ans, grâce à la mise en place de mesures de prévention fondées sur des données probantes.

Lectures complémentaires

X (Twitter) : @CarolynAEmery

Par-delà le pouls : quand le mouvement semble impossible

Dre Jennifer Reed
Responsable du Programme de réadaptation cardiovasculaire, scientifique et directrice du Laboratoire de physiologie de l’exercice et de santé cardiovasculaire de la Division de prévention et de réadaptation cardiovasculaire
Institut de recherche de l’Hôpital d’Ottawa et Université d’Ottawa

L’exercice est essentiel pour améliorer la santé cardiovasculaire, mais pour les personnes aux prises avec une fibrillation auriculaire persistante ou permanente, même un simple mouvement peut sembler accablant. Que ce soit à cause de la fatigue, de l’anxiété ou de la peur des complications, il est souvent difficile de savoir par où commencer.

La Dre Jennifer Reed a mené un essai clinique auprès de 86 personnes atteintes de fibrillation auriculaire et comparé les effets de deux méthodes : l’entraînement fractionné de haute intensité (HIIT) – de courtes périodes d’activité suivies de repos – et des exercices continus d’intensité modérée.

Les deux méthodes se sont révélées sécuritaires et ont amélioré la qualité de vie, la condition physique et la santé cardiovasculaire des participants. L’équipe a observé des bienfaits similaires pour des séances de 23 minutes de HIIT deux fois par semaine et pour des séances d’une heure d’exercice continu d’intensité modérée à vigoureuse deux fois par semaine.

Ces résultats montrent qu’il n’y a pas qu’une seule façon d’améliorer sa santé cardiovasculaire. Les programmes d’exercice offerts par les services de réadaptation cardiovasculaire et les centres de soins peuvent donc proposer ces deux méthodes aux patients, ce qui aidera ces derniers à retrouver confiance et à prendre leur santé en main.

Lectures complémentaires

RAPID GENE, une percée génétique pour un traitement du cœur au chevet du patient

Dr Derek So
Cardiologue, Institut de cardiologie de l’Université d’Ottawa

Pour rétablir la circulation sanguine, il est possible d'insérer un tube dans une artère, une endoprothèse, à la hauteur du cœur. Les patients chez qui une telle intervention est effectuée se font souvent prescrire du clopidogrel pour éviter la formation de caillots sanguins. Ce n'est toutefois pas un médicament efficace pour tout le monde. Il existe des tests génétiques en laboratoire permettant d'établir qui pourra en bénéficier, mais il faut attendre des jours, voire des semaines avant d'avoir les résultats.

L'attente n'est pas un luxe que peuvent se permettre les personnes en situation d'urgence. Et les complications peuvent être graves si on donne le mauvais médicament.

C'est pour trouver une solution à ce problème que le Dr Derek So s'est associé à Spartan Bioscience. L'étude des deux partenaires, RAPID GENE, a abouti à un test génétique grâce auquel on peut obtenir des résultats rapides qui feront la différence entre la vie et la mort.

Le test en question détecte une mutation génétique qui empêche l'organisme de bien métaboliser le clopidogrel. Autrement dit, les personnes qui ont cette mutation resteront insensibles au clopidogrel après la pose d'une endoprothèse cardiaque et sont donc à grand risque de voir se former des caillots sanguins. L'équipe du Dr So a découvert que le prasugrel pouvait efficacement remplacer le clopidogrel pour ces patients.

Le test est à la portée de tout le monde. « Les tests génétiques de l'essai clinique ont été réalisés par des infirmières qui n'avaient suivi qu'une formation d'une demi-heure », explique le Dr So. 

Les résultats étant livrés au chevet du patient, « nous pouvons donner le bon médicament au bon patient sans délai ».

L'équipe du Dr So a publié ses résultats en 2012, ce qui a entraîné des essais cliniques de suivi (RAPID STEMI, TAILOR-PCI) qui ont influencé l'adoption de la thérapie en fonction du génotype partout dans le monde.

Lectures complémentaires

Améliorer les soins contre l'arthrite dans les communautés autochtones

Dre Cheryl Barnabe, M. D., M. Sc., FRCPC
Directrice de l'Institut McCaig pour la santé osseuse et articulaire
Titulaire de la Chaire de recherche du Canada sur la polyarthrite rhumatoïde et les maladies auto-immunes
Titulaire de la Chaire de recherche Arthur-J.-E.-Child sur les résultats cliniques en rhumatologie
Professeure, Département de médecine et Département des sciences de la santé communautaire, Université de Calgary
Rhumatologue, Services de santé de l'Alberta

L'arthrite inflammatoire, dont la polyarthrite rhumatoïde, touche de façon disproportionnée les communautés autochtones du Canada en raison de leur accès limité à des services de santé de grande qualité. Pour réduire les disparités à cet égard, nous collaborons étroitement avec les communautés et patients autochtones en vue de mettre en place des solutions qui répondent à leurs besoins.

Ces efforts conjoints ont abouti, notamment, à la création d'un programme d'agent de liaison avec les personnes atteintes d'arthrite. L'initiative vise à intégrer un membre de confiance de la communauté dans l'équipe de soins de santé pour aider les patients à s'orienter dans le système et à atteindre leurs propres objectifs en matière de santé. Le programme favorise aussi la mise en place d'un solide réseau de soutien par les pairs dans la communauté.

Dans ce cadre, nous avons conçu des outils d'aide à la décision pour faciliter un processus décisionnel concerté entre les patients autochtones et les fournisseurs de soins de santé. Ces outils permettent aux patients autochtones de mieux comprendre les différents traitements possibles pour l'arthrite, d'en évaluer les risques et les avantages et de faire un choix en fonction de leurs préférences, de leurs attentes et de leurs valeurs.

Lectures complémentaires

Date de modification :